〒564‐0031 大阪府吹田市元町3番7号
JR吹田駅徒歩1分 駐車場完備

診療時間
8:00~13:30
10:00~13:30
15:30~21:00

休診日:火曜、祝日

INNPRANNTTO.jpg

インプラント

bR.jpg

ブリッジ

dEN.jpg

入れ歯

治療法

インプラント   

ブリッジ

入れ歯

審美性 〇(保険外)×(保険) ×
噛む力 ×
口腔衛生 優れる(お手入れ必要) 不衛生になりやすい 不衛生になりやすい
耐久性 優れる(お手入れ必要) 両隣の歯に負担がかかる

合わなくなる事が多い

違和感 なし 少ない ある
健康な歯を削る 削らない 両隣の歯を削る 少し削る
顎の骨が痩せる 痩せない 痩せる事がある 痩せる
取り外し 固定式 固定式 取り外し式
手術 有り なし  なし
診療形態 保険外治療 保険治療 保険治療
治療期間 年単位 月単位 月単位
お手入れ方法 簡単 困難 簡単

治療の適応 

診断結果によっては治療
が適さない場合がある 

両隣の歯がないと
治療できない

歯がなくても
治療できる

<インプラント>

 失ってしまった自分の歯の代わりに人工歯根を顎の骨に埋め込み、

その上に人工の歯を 作製して噛みあわせを回復する方法です。

術前 

インプラント前 ok.jpg

術後

インプラント後 ok.jpg

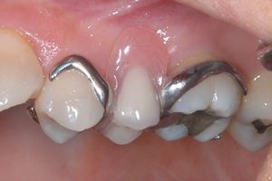
<ブリッジ>

歯が欠損しているところの前後の歯を削り、橋をかけるようにかぶせ物を作る方法です。

術前

Br 前 11111.jpg

形成後

Br中 2.jpg

術後

Br後 2.jpg

 <入れ歯>

歯を失った部分の型を取り、そこに人工の歯をピンクの床の上にくっつけ、

それ自体を金具で自分の歯の前後に引っ掛ける簡単な方法です。

術前

デンチャー前1.jpg

術後

デンチャー後1.jpg

インプラントのメリット

・安定した噛み合わせを長期間保つことが可能である

・失った歯の数が多いくても咀嚼能力(ものを噛みくだく能力)の回復が可能である

・自分の歯に近い外観や機能が期待できる

・適切なお手入れにより長持ちする

・抜け落ちてもやり直しが容易である

・適切な毎日のお手入れにより数十年保つことも可能となる

インプラントのデメリット

・比較的、治療時間が長期である

・保険外の治療なので、比較的治療費が高額になってしまう

・手術になるので状態によっては、インプラント治療が適応できない場合がある

・ブラッシングなど家庭内でのお手入れや、医院での定期検診を他の治療法よりもしっかりする必要がある

ブリッジのメリット

・自分の歯とほとんど同じように噛め、見た目も自然で審美的に良い

・固定式なので自分の歯と同じような感覚で噛め、入れ歯に比べて違和感もない

・歯と歯をつなぐ事によって、噛む力を分散することが可能である

・保険適応内のものもあり、安価での治療が可能である

・インプラントに比べ、早く治療が完了し手術の必要もない

・咀嚼能率(ものを噛み砕く能力)がそこそこ高い。(天然歯の約60%)

ブリッジのデメリット

・土台となる健康な両隣の歯を削らないといけないので、負担がかかり土台の歯の寿命が短くなる

・土台となる健康な両隣の歯がない場合には、ブリッジできない

・多数の歯が欠損している場合は、ブリッジの治療はできない

・食べカスなどがブリッジと歯肉との間につまりやすく、不衛生になりやすい

・噛んだ時に歯が抜けた部分に刺激がなく、歯茎が段々痩せてくる場合がある

・保険での治療は、前から3番目の歯(全部で12本)までしか白い材料が使えないので、変色しない材料や

 奥歯に白い材料が使えるのは治療費が高くなる

入れ歯のメリット

・保険適応内のものもあり、安価での治療が可能である

・比較的短期間の治療で咀嚼機能の回復が望める

・ブリッジのように両隣の健康な歯をあまり削らない

・手術の必要がない

・調整・修正しやすい

・ブリッジで対応できない大きな欠損にも対応でき、歯がまったくない場合でも適応できる

入れ歯のデメリット

・変化する口腔内環境にあわせるため調整や年単位での作り変えが必要である

・留め金が気になるなど審美性にかける

・歯茎に噛む刺激が少ないため顎の骨が段々痩せてくる

・噛む力が天然歯に比べて弱いので固い物を食べづらくなる

・保険適応内の場合、食事の際の触覚や味覚が損なわれ、装着時の違和感がある

・どんなにうまく仕上がった入れ歯でも、咀嚼能率(ものを噛み砕く能力)が天然歯の20%〜30%しかない

・顎の下に食べカスが溜まりやすいので、毎食後入れ歯を外してお手入れしないと、

 健康な歯まで虫歯になりやすい

お問合せ・ご相談はこちら

お電話でのお問合せ・ご相談はこちら
06-6317-8020
診療時間
8:00~13:30
10:00~13:30
15:30~21:00

休診日:火曜、祝日

吹田駅徒歩1分の吹田駅前歯科です。インプラントの治療や相談等は、吹田駅前歯科にお任せください。平日夜9時まで、土曜日・日曜日も診療しております。プライバシーの守られた個室カウンセリングルームやチェアー、予防専用チェアー、駐車場を完備しております。

対応エリア
吹田市、東淀川区、淀川区、茨木市、吹田、東淀川、岸辺、相川、豊津、上新庄、下新庄

お気軽にお問合せください

お急ぎのご予約の方は、お電話をお願いします。

06-6317-8020

<受付時間>
午前10:00~13:30
午後15:30~21:00
土日8:00~13:30
※火曜、祝日は除く

吹田インプラントセンター
吹田駅前歯科

住所

〒564‐0031
大阪府吹田市元町3番7号

アクセス

JR吹田駅徒歩1分 駐車場完備

営業時間

午前10:00~13:30
午後15:30~21:00
土日8:00~13:30

定休日

火曜、祝日

CT完備

診療日・診療時間

 
午前 ×
午後 ×

午前・・・10:00〜13:30
午後・・・15:30〜21:00

土日 祝日
8:00〜13:30 ×

対応エリア

吹田市、東淀川区、淀川区、茨木市、吹田、東淀川、岸辺、相川、豊津、上新庄、下新庄